CRM-SP: 83461
Ortopedista e traumatologista
do esporte
Ortopedia e traumotologia
Como profissional da saúde e entusiasta do esporte, encontrei na ortopedia um espaço onde é possível manter o contato com a atividade física, enquanto exerço a carreira que escolhi como o centro da minha vida profissional, a medicina. Meu propósito é proporcionar o melhor em bem-estar e saúde a todos os pacientes que dedicam sua confiança ao meu trabalho, diariamente.

CRM-SP: 83461
Podem afetar músculos, ossos, articulações, ligamentos, tendões e cartilagens. As lesões esportivas podem ser causadas por diversos fatores, incluindo trauma direto, esforço excessivo, movimentos repetitivos, má técnica de execução, falta de aquecimento adequado e condições inadequadas do equipamento esportivo.
Danos nos ligamentos, que são estruturas fibrosas que conectam os ossos e estabilizam as articulações. Elas são comumente causadas por movimentos bruscos, torções ou impactos diretos nas articulações. Exemplos incluem entorses de tornozelo, lesões no ligamento cruzado anterior (LCA) do joelho e lesões nos ligamentos do ombro.
São lesões causadas por atividades físicas intensas e de alto impacto, geralmente realizadas sem o tempo adequado de recuperação entre as sessões de treino. Essas lesões acometem músculos, tendões, articulações e ossos. Entre elas, destacamos as tendinopatias, rupturas tendíneas, fraturas por estresse e síndromes compartimentais.
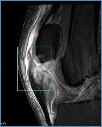
Podem ocorrer devido a traumas agudos, como quedas ou impactos diretos, ou devido ao desgaste gradual ao longo do tempo. As lesões de cartilagem podem levar a dor, inchaço, rigidez e limitação dos movimentos articulares.
Lesões nos meniscos, que são estruturas em meia lua localizadas dentro das articulações do joelho. Elas são frequentemente causadas por movimentos de torção do joelho enquanto está carregando peso, como ocorre durante atividades esportivas. As lesões meniscais podem causar dor, inchaço ou travamento dos movimentos.
Condição degenerativa das articulações que ocorre devido ao desgaste da cartilagem articular ao longo do tempo. Ela pode afetar qualquer articulação do corpo, mas é mais comum em articulações como joelhos, quadris, mãos e coluna vertebral. A artrose pode ser causada por fatores como envelhecimento, sobrecarga articular, lesões prévias, predisposição genética e obesidade.

A artroscopia é um procedimento cirúrgico minimamente invasivo que utiliza um instrumento chamado artroscópio para visualizar e tratar lesões dentro da articulação do joelho.

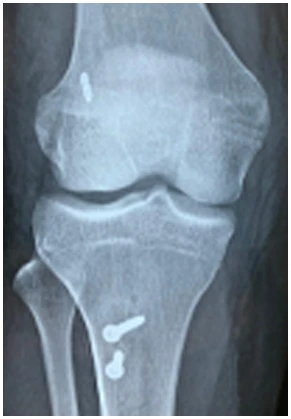
O tratamento cirúrgico para luxações da patela envolve procedimentos para corrigir ou estabilizar a patela (rótula) após uma luxação, que é o deslocamento da patela fora da sua posição normal no trilho (tróclea). Isso pode incluir técnicas de realinhamento, reparo de ligamentos e reforço de estruturas enfraquecidas para prevenir recorrências.

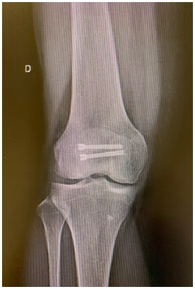
As reconstruções ligamentares são procedimentos cirúrgicos utilizados para reparar ou reconstruir os ligamentos do joelho lesionados, como o ligamento cruzado anterior (LCA), cruzado posterior (LCP) e lesões multiligamentares. Esses procedimentos geralmente envolvem a substituição do ligamento danificado por enxertos de tecido autólogo ou sintético, restaurando a estabilidade e função da articulação do joelho.

O tratamento das rupturas tendíneas pode envolver diversos procedimentos cirúrgicos para reparar ou reconstruir os tendões lesionados. A artroscopia, um método minimamente invasivo, pode ser utilizada para visualizar e tratar lesões dentro da articulação, incluindo rupturas tendíneas. Em casos mais complexos, a reconstrução pode ser necessária, envolvendo a substituição do tendão danificado por enxertos de tecido autólogo ou sintético para restaurar a função e a estabilidade da articulação.

As osteotomias são procedimentos cirúrgicos que envolvem o corte e reposicionamento dos ossos ao redor da articulação do joelho para corrigir deformidades angulares, como a osteoartrose em estágio inicial ou instabilidade ligamentar. Esse procedimento visa redistribuir as forças na articulação do joelho e aliviar a pressão sobre as áreas danificadas da cartilagem.

A artroplastia do joelho, também conhecida como substituição total do joelho, é um procedimento cirúrgico no qual a articulação do joelho é substituída por uma prótese artificial. É indicada para pacientes com artrose grave que não respondem ao tratamento conservador e apresentam dor e comprometimento funcional significativos. A artroplastia do joelho pode proporcionar alívio da dor e melhorar a mobilidade e qualidade de vida do paciente.

A viscosuplementação com ácido hialurônico é indicada nos tratamentos das artroses e lesões condrais, com o objetivo de lubrificação, diminuição do atrito e impacto, e consequente melhora da dor, auxiliando na recuperação da cartilagem. As infiltrações podem ser realizadas em todas as articulações, mas são mais comumente aplicadas nos joelhos.